【医院新闻 | 仁品口腔】不用手术,10岁“地包天
文章来源:重庆仁品医院发布时间:2021-09-04
重庆 耳鼻喉科医院哪家好?【医院新闻 | 仁品口腔】不用手术,10岁“地包天男孩 颜值重归“正道”
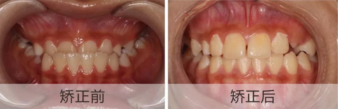
10岁男孩小欧,从小牙齿“地包天”。在重庆仁品耳鼻喉医院经过了半年的治疗,如今已基本恢复正常,看着孩子一天比一天变得自信,家长道谢地话声声入耳:“多亏当初杨主任的耐心和专业,才让孩子的颜值重回正轨”。

事件回顾:
幼儿时,家长发现孩子的下牙比上牙稍微突出一点,因为觉得家里没有“地包天”基因,便一心想等换牙以后改变这种情况。让家长始料未及的是,随着孩子的生长发育,情况越来越严重,最后形成了上前牙和下前牙无法正常咬合,错开了一条缝,难以切断食物,下巴也往外翘,影响容貌。
家长回忆,还记得孩子3岁那一年,初次带去医院检查时特别忐忑,公立医院人太多环境很乱排队很长,一个医生要看一长串的病人很敷衍,第一次看牙孩子很害怕,医生也没说得很透彻,担心孩子不配合,效果不好.....现在能矫正成功也真的很不容易,很感谢仁品口腔科,感谢杨主任。

“地包天”是怎么形成的?
“地包天”医学上称为“反颌”,它属于错颌畸形的一种,是由先天的遗传因素或后天的一些不良因素形成。后天不良因素比如:异常的肌功能习惯比如用口呼吸,反向吞咽、吐舌头和吮手指是牙列发育异常的罪魁祸首。
“地包天”久拖不治的危害?
大多数家长误认为孩子矫正牙齿最合适的年龄是12岁,即牙齿全部换成恒牙以后。事实并非如此,杨主任介绍,“乳牙期反颌最佳矫治的年龄应该是:3.5—5.5岁,早期矫正治疗时间更短,恢复效果也会更好。若乳牙期、替牙期不及时进行干预矫治,到成年恒牙期可发展为骨性反颌,严重时需要进行口腔正颌外科手术。

目前,男孩小欧经过半年时间积极的肌功能干预治疗(MRC)+舌肌肌功能训练,颌骨不良发育已经得到改善。但现阶段仍在继续做肌功能训练,训练孩子养成正确的口腔习惯,培养孩子用鼻呼吸,从而达引导孩子面部向正常方向发育,也可以达到让孩子牙齿变整齐的目的。
什么是肌功能矫正?
肌功能矫正是要找出孩子肌肉使用不平衡,造成齿列不正的原因,加以戒除及训练,搭配配戴功能性矫正器的,阻挡嘴唇与舌头推挤牙齿的力量,让牙齿回到原本应该正常生长的位置。
肌功能矫正不仅是配戴矫正装置而已,更重要的一环是在肌肉训练的部分,运动及训练是需要恒心与毅力的,配合相关训练计划时,家长的陪伴与参与才能大大提高孩子的配合度,让矫正器发挥功效,维持矫正后的稳定结果。
重庆仁品口腔科温馨提醒:错颌畸齿将影响孩子的面貌,是关系孩子一生的大问题,家长应引起重视,并及时帮助孩子早发现、早纠正、早治疗。

- 上一篇:耳朵痒的原因有哪些?怎么预防
- 下一篇:鼻中隔偏曲引起鼻塞怎么办