每次感冒发烧听力就下降,快听不见了,怎么回
文章来源:重庆仁品医院发布时间:2019-06-27
最近一位患者前来咨询。她诉说自己的情况:曾在小时候发烧以后出现听力下降。之后每有感冒,听力多有下降。现在正常交流都有困难。通过她的描述以及最后的检查,诊断为大前庭水管综合征。
本病听来拗口,但其实并不少见,占感音神经性听力损失患者的1%-12%。由于本病为常染色体隐性遗传病,其父母大多听力正常(为什么听力正常的夫妇,会生出听力障碍的宝宝?),且出生后往往可通过听力筛查。常在颅内压升高的情况下(感冒发烧、剧烈咳嗽、用力擤鼻、头部外伤、抬举重物、吹奏乐器、潜水等),出现听力下降。另由于发病早期,患儿年幼,常不能描述病情或准确告知父母,导致在患儿听力严重下降时,父母才发现问题。且部分患者可出现不稳感、眩晕等不适。
一般去医院检查听力可以发现低频表现为传导性聋,中高频为感音神经性聋,此时需要与分泌性中耳炎、突发性聋等相鉴别。

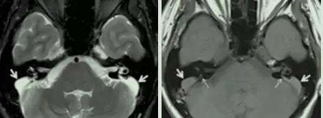
而目前高分辨率颞骨CT与内耳核磁是诊断本病的金标准。在CT上可以发现前庭导水管骨性结构的扩大(半规管总脚到前庭水管外口1/2直径大于1.5mm)。在核磁上可以看到内淋巴管和囊的扩大。


如果诊断为本病,急性期通过及时的药物治疗,听力可恢复至本次发病前的状态。若发病时间较长而听力尚可的患者,可佩戴助听器进行治疗。若听力如已严重下降,则需进行电子耳蜗植入手术。
另外,由于本病属于遗传病,患儿的父母生育二胎罹患本病的概率为25%。而本病患者在生育下一代时最好与配偶进行相关的遗传咨询(为什么要进行耳聋基因检测?),以避免此类情况的出现。
- 上一篇:耳朵疼,会是什么病?
- 下一篇:朋友,您的“呼”声高吗?